Zurück zur Präparateauswahl
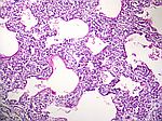
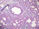
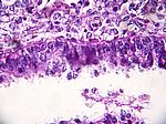
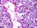
Hyaline Membran der Lunge, PAS
Zurück zur Präparateauswahl
Home
|
Spezielle Pathologie
|
Link Disclaimer
|
Contact