Zurück zur Präparateauswahl
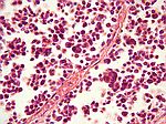
Kleinzelliges Bronchialkarzinom, HE
Zurück zur Präparateauswahl
Home
|
Spezielle Pathologie
|
Link Disclaimer
|
Contact