Zurück zur Präparateauswahl

 
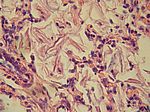
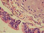
Fruchtwasseraspiration, HE
spez12-0 spez12-1
spez12-2 spez12-3
spez12-4 spez12-5

Zurück zur Präparateauswahl