Zurück zur Präparateauswahl

 
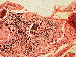
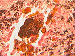
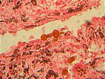
Asbestose, Ke.rot
spez16-0 spez16-1
spez16-2 spez16-3
spez16-4 spez16-5
spez16-6

Zurück zur Präparateauswahl