Zurück zur Präparateauswahl

 
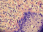
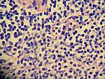
Mycosis fungoides, HE/Giemsa
spez61-0 spez61-1
spez61-2 spez61-3
spez61-4 spez61-5

Zurück zur Präparateauswahl